2018年名古屋市瑞穂区汐路町にGRAND OPEN!!
歯のセルフケアサービススタート!!

About
01

一般的なホワイトニングと比べ、一回あたり4500円の料金でホワイトニングが可能です。
割引券や、回数券の購入により、3,000円台での施術も可能になりました。
02

施術時間は一回約30分(8分×2回照射)で、一回の施術でも効果は感じられますが、初めは歯の色素を落とすリセット期間として一週間に一回を目安に通い、リセット期間後はメンテナンス期間として一ヶ月に一回を目安で効果を持続させることができます。
03

施術に使われる溶剤は、食品や化粧品などでも使われている無機化合物で作られており、LEDライトは紫外線がでないため安心して施術を受けられます。
04

予め施術回数が決まったものではなく、一回単位での施術が可能で、ご自身のペースに合わせて好きな時間に、また好みの白さになるまでといった融通が利きます。
What is Self Whitening?

84%の方が“興味あり”と答えた
美容ジャンルの新カテゴリ
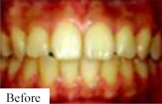
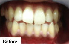
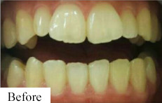
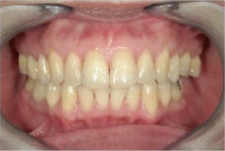
Befor After
8分×2回 計16分を1回施術した際の前後
※効果には個人差があります。

↓


↓


↓

市販の口腔ケア商品によるホワイトニング
→実施時間に対して大きな効果が得られない

一般的な色のトーン
美容ホワイトニング

段階を踏んだ自然な白さ
歯科ホワイトニング

芸能人のような白さ
通常
料金
1回4,500円
照射:8分×2セットの計16分
初回割引
価格
1回3,240円1,260円
お得!
※初回お試し価格¥3,240でご利用いただけます!
学生応援!
学割あります!
1回2,000円学割で
超お得!
※2回目からは、3,500円でご利用いただけます!
1回:8分×2セット
通常4,500円
特別会員様さらに
10%OFF
→
4,050円
通常価格より450円お得!
通常4,050円
特別会員様さらに
5%OFF
→
3,800円
通常価格より2,800円お得!
通常3,800円
特別会員様さらに
5%OFF
→
3,610円
通常価格より8,900円お得!
2018年GRAND OPEN!!!
| 店舗名 | セルフホワイトニング・フェイスエステ専門 Pearl Whitening(パールホワイトニング)瑞穂区店 |
|---|---|
| 住所 |
〒467-0003 愛知県名古屋市瑞穂区汐路町4-31 |
| 電話番号 | 0120-75-2355 |
| 営業時間 | ・火曜ー土曜10:30~19:00 ・日曜10:30~18:00 ・月曜定休日 |
| アクセス | 【駐車場完備!(店舗前7台)】 名古屋市営地下鉄桜通線 瑞穂区役所駅 徒歩8分 |
Information
Beauty Salon

実績46年のノウハウを活かし、的確な判断であなたにぴったりのスキンケアをご提案。あなたに本当に必要な、お肌にやさしいコスメを厳選して使用することで、本来の美しさを引き出していきます。
年齢とともに実感するお肌の悩みや体型の変化に応えるエステサロン【ホロスペース パール】にまずはご相談ください!!
Media

GENKINGスタイルブック

日本初‼歯のオーラルケアマガジン【美歯Navi】

maquia11月号

vivi 12月号